初回トライアルの詳細
初回 5,500円(税込)
初めての方に向けたトライアルコースです。
カウンセリングで現在のお悩みやお身体の状態を確認し、お一人おひとりに合わせた施術をご提案いたします。
はじめての方にも安心して受けていただけます。
不妊カウンセリング(30分)+不妊鍼灸(40分)
①このようなお悩みはありませんか?
- 体外受精・顕微授精を続けているが、なかなか結果につながらない
- 採卵前に少しでも体調を整えたい
- 胚移植前に血流や自律神経を整えたい
- 冷え・睡眠・ストレス・生理不順なども気になっている
- 妊活に詳しい鍼灸院を東京で探している
- 通院中のクリニックと併用しやすい鍼灸院を探している
③妊活中の方に選ばれている理由
不妊鍼灸に特化した施術
採卵前・移植前・判定前後・安定期までなど、妊活の流れに合わせた施術を行っています。
東京の主要エリアで通いやすい
新橋・新宿・京橋(銀座日本橋)の3院体制で、通院しやすい立地から選べます。
不妊治療クリニック通院中の方も多数来院
体外受精・人工授精・タイミング法など、さまざまな段階の方が通院されています。
妊活のお悩みに幅広く対応
冷え・自律神経・睡眠・胃腸・生理トラブルなど、全身状態も含めて整えます。
当院の妊活サポート実績
年間1万回以上
7.5ヶ月
48歳
600名以上
妊娠報告実績
- 2023年212名
- 2024年192名
- 2025年199名
※院内集計データに基づく実績です。妊娠報告後の流産を含む場合があります。
Pregnancy Report
④妊娠報告
不妊治療と並行しながら鍼灸に通われ、妊娠のご報告をいただいた方の一例をご紹介します。
お一人おひとり、お悩みや治療状況に合わせて施術を行っています。
採卵前から通院を開始し、3回目の移植で妊娠のご報告
通院期間5ヶ月
お悩み採卵結果のばらつき、冷え、睡眠の浅さ
採卵前からお体づくりを目的に通院を開始されました。冷えや睡眠状態、
自律神経の乱れに配慮しながら施術を継続し、3回目の胚移植後に妊娠のご報告をいただきました。
移植周期に合わせた通院を継続し、妊娠判定へ
通院期間7ヶ月
お悩み血流、ストレス、胃腸の不調
お仕事と治療の両立によるご負担も大きく、心身ともに緊張が続きやすいご様子でした。
移植前を中心に施術を継続し、妊娠判定につながった一例です。
継続的なお体づくりを行い、妊娠・ご出産へ
通院期間12ヶ月
お悩み冷え、疲労感、不安感
体外受精と並行しながら継続して通院されました。お体の状態を整えることを大切にしながら施術を重ね、
妊娠のご報告と、その後ご出産のお知らせもいただきました。
※妊娠・出産には個人差があり、施術による結果を保証するものではありません。
※掲載内容は患者様からのご報告をもとに、一部表現を整えてご紹介しています。
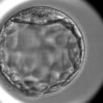
施術経過の一例
症例①
施術前

6BC
施術後

6AA
症例②
施術前

6BC
施術後

6BA
※施術経過の一例です。結果には個人差があります。
妊娠報告メッセージ
体外受精を続けていましたがなかなか結果が出ず、不安な日々が続いていました。
こちらで鍼灸を受け始めてから体調が整ってきたのを感じ、無事に妊娠することができました。
40代前半 / 体外受精
採卵や移植のタイミングで体を整えたいと思い通院しました。
先生が丁寧に体調を見ながら施術してくださり、安心して治療を続けることができました。
30代後半 / 胚移植周期
45歳から体外受精を始めましたが結果が出ず、こちらの鍼灸に通うことにしました。
体の冷えや睡眠も改善し、48歳で出産することができました。
40代後半 / ご出産
⑤このような方におすすめです
-
採卵に向けて体を整えたい方
卵の質やホルモンバランス、血流、自律神経の乱れが気になる方 -
移植前に体調を整えたい方
着床に向けて子宮まわりの血流や冷え、睡眠環境を整えたい方 -
妊活の長期化で心身の負担が大きい方
緊張や不安が続きやすい方のために、心身両面からのケアを行います
⑥鍼灸で体はどう変わるのか
鍼灸の刺激は、血流・自律神経・ホルモンバランスなど、妊娠に関わる体の機能に働きかけます。
不妊治療クリニックに通院されている方も、採卵周期・移植周期に合わせて鍼灸を併用されています。
そのため当院では、体外受精・顕微授精を行っている不妊治療クリニックに通院されながら鍼灸を併用される方が多くご来院されています。
血流改善
骨盤内の血流を促進し、
子宮や卵巣へ十分な血液が届きやすくなります。
自律神経調整
自律神経のバランスを整え、
ストレスや睡眠の質の改善をサポートします。
ホルモンバランス
視床下部・下垂体・卵巣の働きに関わる
ホルモンバランスを整えます。
子宮内膜環境
子宮内膜の血流を整え、
着床しやすい環境づくりをサポートします。
卵巣血流
卵巣周囲の血流改善により
採卵周期のコンディションを整えます。
体質改善
冷えや血流の滞りを整え、
妊娠しやすい体づくりをサポートします。
Visit Pace
⑦通院ペース
採卵周期・移植周期・体質改善など、
現在のお体の状態や治療の進み方に合わせて通院ペースをご提案しています。
採卵周期
採卵に向けてお体を整える通院
卵胞の育ちや採卵前のコンディションを整えるための通院です。
週1〜2回
採卵に向けてお体を整える通院
卵胞の育ちや採卵前のコンディションを整えるための通院です。
採卵周期では、卵胞の発育に合わせながら
血流・自律神経・睡眠状態などを整えていくことを大切にしています。
特に、冷えや疲労感、睡眠の乱れ、ストレスが強い方は、
お体の土台を整えることで採卵周期を過ごしやすくなることがあります。
状況に応じて、採卵前は少し頻度を上げてご案内することがあります。
移植周期
移植に向けてお体を整える通院
胚移植に向けて、落ち着いて周期を迎えるための通院です。
週1回
移植に向けてお体を整える通院
胚移植に向けて、落ち着いて周期を迎えるための通院です。
移植周期では、子宮まわりの血流やお体の緊張状態に配慮しながら、
落ち着いた状態で移植日を迎えられるよう整えていきます。
不安や緊張が強くなりやすい時期でもあるため、
自律神経のバランスや睡眠の質も大切なポイントになります。
移植前後の通院タイミングは、治療内容やご予定に合わせてご提案しています。
体質改善
妊娠しやすい体づくりを目指す通院
冷え・睡眠・ストレス・月経周期などを整えていく通院です。
1〜2週に1回
妊娠しやすい体づくりを目指す通院
冷え・睡眠・ストレス・月経周期などを整えていく通院です。
体質改善の通院では、妊活の土台となるお体を少しずつ整えていきます。
冷え・むくみ・睡眠の浅さ・疲れやすさ・月経トラブルなど、
一人ひとり異なる状態を確認しながら施術を行います。
治療周期の前段階として整えたい方や、
継続的にお体の調子をみていきたい方にもおすすめです。
実際の通院頻度は、お体の状態・治療周期・ご予定に合わせてご案内しています。
CLINIC SUPPORT
通院中のクリニックがある方へ
東京鍼灸には、都内の不妊治療クリニックに通院しながら、
採卵前・移植前後・治療継続中のコンディション調整を目的にご来院される方が多くいらっしゃいます。
通いやすい院やご通院先に合わせて、クリニック別のご案内ページをご覧ください。
新橋・京橋エリアのクリニック
新橋・銀座・京橋・日本橋周辺のクリニックに通院中の方におすすめのご案内です。
新宿エリアのクリニック
新宿周辺のクリニックに通院中の方はこちらからご確認ください。
⑩ご来院から施術までの流れ
- 01
WEBまたはお電話でご予約ご都合の良い日時をお選びいただき、ご予約ください。
- 02
カウンセリングで現在の治療状況や体調を確認通院中のクリニック状況やお悩み、生活リズムなども丁寧にお伺いします。
- 03
お体の状態に合わせて施術内容をご提案採卵前・移植前・体質改善など、その時期に合わせた施術を行います。
- 04
今後の通院ペースやケア方法をお伝えします施術後はご自宅での過ごし方や通院目安もわかりやすくご案内します。

よくあるご質問
不妊治療中でも鍼灸は受けられますか?
はい、可能です。体外受精・人工授精などの治療と並行して通院されている方も多くいらっしゃいます。採卵前・胚移植前などのタイミングに合わせて施術を行っています。
どのくらいの頻度で通うと良いですか?
お体の状態や治療段階によって異なりますが、妊活中の方は週1回前後の通院をおすすめすることが多いです。
鍼は痛くありませんか?
当院で使用する鍼は非常に細く、多くの方がほとんど痛みを感じない程度です。初めての方でも安心して受けていただけます。
お灸は熱くありませんか?
お灸は温かく心地よい刺激で、リラックスされる方が多いです。熱さを感じた場合はすぐに調整できますのでご安心ください。
体外受精の採卵前や移植前でも施術できますか?
はい、可能です。採卵前・移植前など治療のタイミングに合わせて施術内容を調整しています。
どの院を選べば良いですか?
新橋院・新宿院・京橋院の3院があります。ご自宅や職場、通院中のクリニックから通いやすい院を選ぶのがおすすめです。
初めてでも大丈夫ですか?
はい、初めての方でも安心してご来院いただけます。カウンセリングでお体の状態や治療状況を確認し施術を行います。
服装はどうすれば良いですか?
施術しやすい服装をご用意しておりますので、普段着のままご来院いただいて大丈夫です。


